Neuropraxis Uitgave 22011 Auteur. De wittestofbanen van het cingulum vormen een belangrijk onderdeel van de structurele verbindingen en liggen mogelijk ook ten grondslag aan de functionele connectiviteit coherente oscillaties tussen de frontale en pariëtale hersengebieden.
Communicatienetwerk Maakt Gliablastoom Onweerstaanbaar Geleerd Uitschotgeleerd Uitschot
Ironisch genoeg is Karinthy naast zijn pioniersvisie op sociale netwerken ook nog op een andere manier relevant voor dit artikel.

Hersentumor netwerk. De plasticiteit van de hersenen blijkt veel groter dan altijd werd aangenomen. Lokale beschadiging of ziek netwerk. Het zenuwstelsel is een netwerk van cellen dat informatie kan opnemen en verwerken.
Bij zaken van het geheugen zijn verschillende van deze neurale netwerken actief zowel in de linkerhersenhelft als in de rechterhersenhelft. Het wordt steeds duidelijker dat de netwerktheorie niet alleen vanuit wiskundig of sociaal psychologisch oogpunt interessant is ook de hersenen vormen een netwerk. ZInzicht in de wijze waarop hersenen leren om complexe informatie te verwerken en op te slaan kan gebruikt worden in artificiële neurale netwerken.
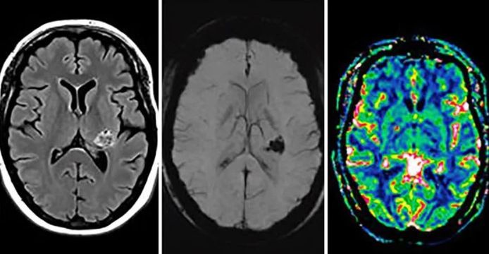
Om de werking van dit netwerk uit te leggen gaan we het probleem van de voetballende jongens eerst scherper omschrijven. Hij werd op 46-jarige leeftijd gediagnosticeerd met een hersentumor. Het geheugen zit niet op één plek maar verspreid over de hersenen in een soort netwerk.
Emoties taal en spraak naast een netwerk dat al deze gebieden met elkaar laat samenwerken. De hersenen hebben ook een netwerk dat je op dezelfde manier kunt bestuderen. Om te weten wat er zich binnen en buiten ons lichaam afspeelt maken de hersenen gebruik van een netwerk van zenuwen dat over het hele lichaam is verspreid.
Het deel van het menselijk brein dat verantwoordelijk is voor het koppelen van sensorische signalen aan reacties en gedrag werd altijd gezien als een hersendeel dat aan weinig verandering onderhevig was. Hierin worden de basis principes van informatieverwerking in het zenuwstelsel gebruikt om in het kader van de artificiële intelligentieAI complexe taken op te lossen die niet met de huidige informatica en AI methoden op te lossen zijn. Anatomie van de hersenen.
About Press Copyright Contact us Creators Advertise Developers Terms Privacy Policy Safety How YouTube works Test new features Press Copyright Contact us Creators. Dit netwerk werd actief in aanwezigheid van kleine hoeveelheden amyloïde eiwitVeel van de genen in deze netwerken vertonen vergelijkbare veranderingen in stalen van menselijke hersenweefsels wat aanwijst dat plaques ook bij mensen dezelfde reactie uitlokken voegt Fiers toeOnze resultaten tonen aan dat amyloïde plaques geen onschuldig nevenverschijnsel van de. Belangrijk is vooral dat onze hersenen voortdurend in verandering zijn.
Onze hersenen stellen ons onder meer in staat om te zien horen ruiken denken voelen spreken en om ons te bewegen. Sterker nog de hersenen zijn waarschijnlijk het meest geavanceerde netwerk dat er bestaatIn ons hersenweb zijn twee zeer belangrijke eigenschappen van optimaal functionerende netwerken verenigd. De symptomen die een hersentumor kan veroorzaken zijn zeer uiteenlopend.
Neuraal netwerk is een imitatie van de hersenen. Heel wat hersentumoren worden ontdekt naar aanleiding van aanhoudende met de tijd erger wordende hoofdpijn die al dan niet gepaard gaat met misselijkheid braken slechter zien en bewustzijnsdalingen. Meer specifiek verbindt het netwerk delen van de mediale frontale schors MFC de precuneuscortex cingularis posterior en gebieden in de inferieure pariëtale schors.
Anatomie en functie van het zenuwstelsel. Het is gebleken dat naast de hersenen vele systemen zon smallworld-netwerk zijn bijvoorbeeld het Internet het wegennet van Nederland en onze genetische structuur Watts Strogatz 1998. Hersenen gedragen zich als netwerken.
De hersenen vormen het centrum van het zenuwstelsel. Het verbindt alle delen van het lichaam met elkaar. Zo weten we nu dat bij de geboorte alle verbindingen van het netwerk al op hun plek zitten.
De hersenen het ruggenmerg en de zenuwen vormen samen het zenuwstelsel. AMSTERDAM - Een hersentumor verstoort niet alleen hersenfuncties in zijn directe omgeving maar ook. Een neuraal netwerk is zowel in opbouw als in werking een imitatie van onze eigen hersenen.
Het bevat dan ook meer dan 80 miljard hersencellen die met elkaar communiceren in een gigantisch netwerk van zenuwverbindingen. Het is moeilijk om vorm en functie van het zenuwstelsel los van elkaar te bespreken. In het algemeen worden ze beïnvloed door de snelheid waarmee de tumor ontstaat en door de ligging van het letsel.
De afgelopen jaren gebruiken wetenschappers nieuwe scantechnieken om inzicht te krijgen in de wijze waarop het netwerk wordt opgebouwd vanaf de embryonale fase en hoe het zich gedurende het hele leven ontplooit. Als kinderen opgroeien verandert de kwaliteit van de verbindingen in het netwerk bepaalde landwegen worden snelwegen. Het probleem dat een neuraal netwerk.
Via dit netwerk wordt informatie van de hersenen naar andere delen in het lichaam gestuurd en omgekeerd.
Agressieve Hersentumor Misbruikt Onze Biologische Klok Om Te Kunnen Groeien Wetenschap Knack
Wat Is Een Hersentumor Hersentumor Astrocytoom Hersenstichting
De Oorzaken Van Het Ontstaan Van Een Hersentumor Kanker
Hersentumor Onderzoek Hersenstichting
Hersenletsel Door Een Tumor Gezwel Hersenletsel Uitleg Nl
Kindertumoren Kinderneurochirurgisch Netwerk Nederland
Https Www Kwf Nl Sites Default Files 2019 10 Brochure Hersentumor Pdf
Https Hersentumor Nl Uploads Bestanden Publieksdagen 2020 Presentaties 202020 20201121 20publieksdag 202020 20dr 20linda 20douw 20neuropsycholoog Pdf
Hersentumoren Contactgroep Nfk
Vrouw Die God Tegen Haar Hoorde Spreken Heeft Hersentumor Medisch Hln Be
Anatomie Van De Hersenen Alles Over Tumoren Wat Zijn Hersentumoren Stichting Hersentumor Nl



Geen opmerkingen:
Een reactie posten
Opmerking: Alleen leden van deze blog kunnen een reactie posten.